Арис Опубліковано: 25 листопада 2011 Опубліковано: 25 листопада 2011 поменял заголовок темы, думаю никто не против. так будет правильнее и "более широкие массы" могут отписаться. ЗЫ: мне например сильно нравится аграрный бизнес - сколочу капитал, обязательно возьму себе земельки и тракторец - буду обрабатывать Ты как ГАИшник в анекдоте: куплю себе перекресток и буду на пенсии для души работать. Аграрный бизнес - это зона рискованного земледелия, разве что для себя. Тогда это не бизнес, так хобби. Как бы тебе это пояснить, но все равно что ты вздумаешь маленькую скважину пробурить и мини заводик поставить чтобы бензин перегонять и на своей заправке его реализовывать. Как думаешь, в нашей стране это возможно? Так и аграрии, все поделено до нас. Мелкие сошки не в счет - фермеры самоучки. Для души это тема, а так не стоит. Лучше собак борзых разводить на полях своих выгуливать верхом на лошади! это если это твой основной зароботок, а если для души - то это совсем другое Не успел написать . Тогда да.
vlad_leo Опубліковано: 25 листопада 2011 Автор Опубліковано: 25 листопада 2011 поменял заголовок темы, думаю никто не против. так будет правильнее и "более широкие массы" могут отписаться. ЗЫ: мне например сильно нравится аграрный бизнес - сколочу капитал, обязательно возьму себе земельки и тракторец - буду обрабатывать ох жеж и перекрутил название темы)))) я в аграрном секторе работаю - торгую мин удобрениями... в землю влазить не советую))... а то света белого не увидишь... даже для души.. да и вливаний она требует ппц... п.с. жадные вы однако... даже плюсиков жалко(((, а о порции прота новой почтой - вообще молчу... :to_pick_ones_nose3:
dbalu Опубліковано: 25 листопада 2011 Опубліковано: 25 листопада 2011 А я колёсами торгую... Резиновыми.
55Pavilion Опубліковано: 25 листопада 2011 Опубліковано: 25 листопада 2011 Работаю в проектном институте инженером в нефте-газо-хим промышленности. (работа) Также связан с автоматизацией и внедрением компьютерных технологий в машиностроение, модернизацией металлорежущего оборудования. (бывшая работа и специализация)
yobilovus Опубліковано: 25 листопада 2011 Опубліковано: 25 листопада 2011 А я колёсами торгую... Резиновыми. это типа - драже эммемдемс - не тают в руках ...... ни во рту, ни в желудке. Восьмой, шарико-подшипниковый завод. ЗЫ: а тема то популярнее стала
alex211284 Опубліковано: 25 листопада 2011 Опубліковано: 25 листопада 2011 Инженер-энергетик. Работаю на подстанции 330кВ, несу свет в Ваши дома)
Арис Опубліковано: 25 листопада 2011 Опубліковано: 25 листопада 2011 Инженер-энергетик. Работаю на подстанции 330кВ, несу свет в Ваши дома) Ну вот коллега по энергетике появился. Какая ПС 330 кВ?
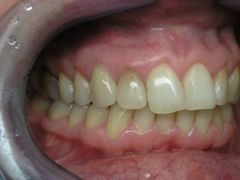
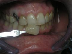
paraschyk1 Опубліковано: 25 листопада 2011 Опубліковано: 25 листопада 2011 (змінено) Лечим,точим,"вставляем",удаляем))) Змінено 25 листопада 2011 користувачем PRS
55Pavilion Опубліковано: 25 листопада 2011 Опубліковано: 25 листопада 2011 Восьмой, шарико-подшипниковый завод. Ты о чем??? ХАРП?
Рекомендовані повідомлення
Створіть акаунт або увійдіть у нього для коментування
Ви маєте бути користувачем, щоб залишити коментар
Створити акаунт
Зареєструйтеся для отримання акаунту. Це просто!
Зареєструвати акаунтУвійти
Вже зареєстровані? Увійдіть тут.
Увійти зараз