Перейти до публікації

Стоматология


paraschyk1

Рекомендовані повідомлення

Опубліковано:
Ситуація така. Маю пару зубів, на яких, схоже, відкрився корінь зуба. Язиком відчувається перехід на емалі. Таке сталося вже досить давно. Вказані зуби не пошкоджені. Чим загрожує така ситуація? Чи необхідно щось лікувати?

Или абразия зуба или клиновидный дефект. Чревато ростом проблемы со сколами,повышенной чуствительн. зубов. Нужно смотреть лично.

  • Відповіді 932
  • Створено
  • Остання відповідь

Кращі автори в цій темі

  • paraschyk1

    224

  • Outlawif

    60

  • AT0N

    46

  • Cardopusher

    39

Кращі автори в цій темі

Опубліковано:
Ну коли А,то где Б? Давайте имена,только людей не заинтересованных в продажах,а практикующих и что следят,как минимум за протетикой лет так пять с фотодокументацией. А так это только попытка задавить чужим авторитетом. Отзывы )),все отзывы только в кулуарах и только лично за болаком мартельки. Да и стоит призадуматься почему сегодня многие смотрят больше в сторону контрабаса или корейцев чем в сторонну отечественного Витапланта. Забубенить десяток гвоздей спецам много не надо,а вот запротезировать достойно на получившемся-вопрос.

 

Пол года назад выкрутил Витаплант пальцами.

 

Зачем эти расследования с именами ? Или априори не допускается наличие количества толковых спецов из его учеников довольных продукцией Витапланта ? Они заинтересованные ? По поводу приживаемости и возможных дальнейших осложнений : сам Мосейко сетует на жопорукость скороспелых имплантологов , если люди элементарно не умеют правильно позиционировать одноэтапники при установке то о каком дальнейшем успешном лечении речь ?

Или нобели руками не выкручиваются , когда жопорукими ( по Мосейко ) закручены ? )))

Мне смешно будет , когда еще более прижмет и большинство критиканов перейдет на витаплант или тот же бог знает какого происхождения контрабас и начнут говорить : так ведь не хуже ж нобелей , пойдет -будем крутить )))

В терапии уже такое наблюдаемо : люди с брендов перебираются на лателюкс и говорят - а не плохой материал . Хотя давеча было : что ? лателюкс ? та никогда в жизни этим дерьмом работать не буду !

 

Опубліковано:
Зачем эти расследования с именами ? Или априори не допускается наличие количества толковых спецов из его учеников довольных продукцией Витапланта ? Они заинтересованные ? По поводу приживаемости и возможных дальнейших осложнений : сам Мосейко сетует на жопорукость скороспелых имплантологов , если люди элементарно не умеют правильно позиционировать одноэтапники при установке то о каком дальнейшем успешном лечении речь ?

Или нобели руками не выкручиваются , когда жопорукими ( по Мосейко ) закручены ? )))

Мне смешно будет , когда еще более прижмет и большинство критиканов перейдет на витаплант или тот же бог знает какого происхождения контрабас и начнут говорить : так ведь не хуже ж нобелей , пойдет -будем крутить )))

В терапии уже такое наблюдаемо : люди с брендов перебираются на лателюкс и говорят - а не плохой материал . Хотя давеча было : что ? лателюкс ? та никогда в жизни этим дерьмом работать не буду !

Попытка задавить авторитетом не удалась. Можно и без имен,просто фотоотчеты,реколлы,снимки. Это ведь не так сложно для "не последних спецов". Я такой себе стоматологический нигилист. Будут отчеты достойные,пожму руку и скажу я был не прав. А пока процент неуспеха витапланта далеко впереди,даже и у нерукожопых. Правда говоря видел и неплохие работы на этом имп,но даже их авторы плевались и ушли в скором будущем на ,типа свизерленд, у-импл, израиль.

 

Ну зачем мне,сегодняшняя цена Штраумана 200эуро,отдавать за шуруп,если я могу взять такой же,сертефецированный в дойчлен,по 50эуро и завести его контарбассом. И бубень со спокойной душой.

 

Я никогда не позволю себе перейти на убогое ибо уважаю себя и ценю пациента и его деньги. Я лателюксом только времяхи корректирую,на большее он негоден. Давеча взял ФилтекZ250,10 шприцов по 270гр,контрабасс ,и думаешь кому я хуже сделал? Цена в прайсе на услуги только на 20% приходятся м-лы. И даже подорожание в двое расходников поднимает итоговую цену только на 20%,что не так критично в сравнении с сахаром,мясом,бензом итд.

 

От таки дела.))

Опубліковано:
Попытка задавить авторитетом не удалась. Можно и без имен,просто фотоотчеты,реколлы,снимки. Это ведь не так сложно для "не последних спецов". Я такой себе стоматологический нигилист. Будут отчеты достойные,пожму руку и скажу я был не прав.

Я лателюксом только времяхи корректирую,на большее он негоден. Давеча взял ФилтекZ250,10 шприцов по 270гр,контрабасс ,и думаешь кому я хуже сделал? Цена в прайсе на услуги только на 20% приходятся м-лы. И даже подорожание в двое расходников поднимает итоговую цену только на 20%,что не так критично в сравнении с сахаром,мясом,бензом итд.

 

От таки дела.))

Никого ни чем не давлю))) Зря все на личный счет принимается . Я думал у нас разговор о положении дел в общем и никоем образом ни твое личное с корпорацией витаплант . Если все ж личное : тогда ты прав и твой личный опыт показал , что витаплант дерьмо . И на этом вопросу конец .

Если же о вопросе в общем :

Фотоотчеты ? Хм. Зайди на сайт витапланта там есть . Если мало - зайди на сайты лекторов учебного центра , мало -на сайты учеников . Фотоотчетов достаточно. Я уж точно ссыли подносить не буду . У людей получается , почему то , вопреки всему )))

 

прав - не прав, я ж не поставщик этой продукции и мы не перед покупателями сейчас за грудки друг друга тягаем . Есть общество спецов у которых все получается с этой продукцией .

И хоть 100 раз прав-не прав , оно есть и у них получается .))) У кого не получается - тот работает другим , как ты писал. Никто никого ж не насильничает )))

Но только и плеваться не стоит .

Контрабассом кому хуже сделал ? Никому .Наверно . Кроме стомат магазинов .)))Только не у всех выходы на контрабас есть .

Ты серьезно сейчас говоришь про подорожание на услуги ? У нас по городу топовые клиники уже не скрывая демпингуют . Кресла простаивают . Народ день-два в неделю работает .

За то на бюджетном приеме наплыв . Что меня радует )))

 

 

 

 

Опубліковано:

Да,блин,я не хотел с тобой в личности входить. Если задел,извини!

Я работаю на Мис-е и Штраумане,онли. Если наши в Кельне весной "сообразят" мною рассказанный вариант это будет третья сис-ма.

Блин,да это общество спецов настолько мало что все всех знают,дай в личку пару имен,я пообщаюсь через своих или на прямую,может и поменяю мнение.

 

О росте цен. Я работаю в клиниках разного ценового диапазона,так вот в самой дорогой у меня самая большая запись,а эндо моляра там три косаря. Это наталкивает на мысль что кто платил тот и будет,а кому айфон дороже,тот в госе.

 

Писи.Вот это получается у каждого свое. У кого-то стоит и слава Богу,а кому-то профиль прорезывания не тот и провал.

Опубліковано:
Да,блин,я не хотел с тобой в личности входить. Если задел,извини!

Я работаю на Мис-е и Штраумане,онли. Если наши в Кельне весной "сообразят" мною рассказанный вариант это будет третья сис-ма.

Блин,да это общество спецов настолько мало что все всех знают,дай в личку пару имен,я пообщаюсь через своих или на прямую,может и поменяю мнение.

 

О росте цен. Я работаю в клиниках разного ценового диапазона,так вот в самой дорогой у меня самая большая запись,а эндо моляра там три косаря. Это наталкивает на мысль что кто платил тот и будет,а кому айфон дороже,тот в госе.

 

Писи.Вот это получается у каждого свое. У кого-то стоит и слава Богу,а кому-то профиль прорезывания не тот и провал.

 

Да чего б ты меня задел ?! ))) Просто поболтали . Мы ж не профессура- бороды друг другу скубать за идеи . Каждый свое клепает , да и ладно, главное что б пациенты довольны и здоровы были )))

Я ж даже имплантаты и не ставлю : теории на троечку , практики 0 .)))

Хотелось бы попробовать ,да некогда : терапии на 3 недели вперед расписано . И конца и края нет .

То я просто на курсах был , на категорию, и там на лекции Мосейко записывался , слизистые мне не интересны были , а по терапии я нового от них ничего не узнаю , ну вот и решил Мосейко послушать .

Ну , так ладно все у них , вроде , развиваются . Иностранцы , конференции собирают , под тот же нобель ровняются . Пару патентов Мосейко продал даже иностранцам . Опять же учебный центр у них пристойный . Дядько умный , что говорить . И команду себе хорошую собрал . Имена , кстати , на сайте витапланта посмотри , там в преподах уч. центра .

Но не в том суть - понравился мне их подход к делу . Ну не могут такие энтузиасты фуфло пихать сейчас .

Опять же на крайней лекции Моисеич показывал как усовершенствовал продукт , что б не раскручивалось , там угол конуса на несколько градусов изменен и уже другое дело , пусть даже подсмотрели у брендов ))) И про покрытие новое было . Короче на месте не стоят , вроде.

Но , опять же не суть .

Про рост цен : не , ну если у тебя вип клиентура есть , то она никуда не денется , у них деньги всегда будут , слава богам )))

А еще знаешь что думаю про последний наплыв клиентов : курс бакса людей стреманул , у кого гривна была лишняя - пускали на всякие ништяки , в том числе и зубы . И у кого бакс лежал за 8грн купленный - чего б зубы не сделать по такой халяве ? Чего так думаю : друг строймаркет держит - там такой же наплыв , люди гребут стройматериалы .Короче тратят деньги, которые скоро не деньги будут.

 

По писи - согласен )))

  • 2 місяці потому...
Опубліковано:

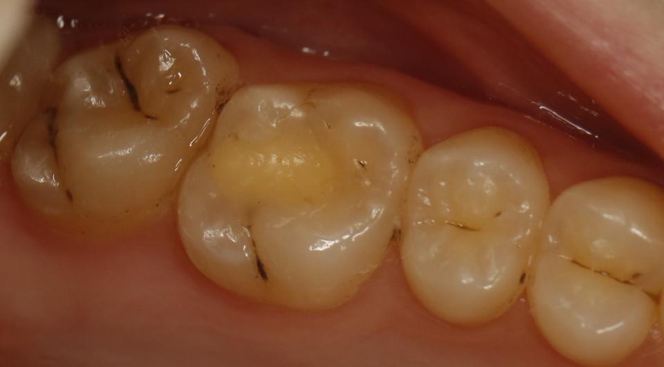
Может людям будет полезно.

Реабилитация зуба с нуля металлокерамической коронкой.

новый_коллаж.jpg

новый_коллаж1.jpg

новый_коллаж2.jpg

_T8A6633.JPG

Опубліковано:

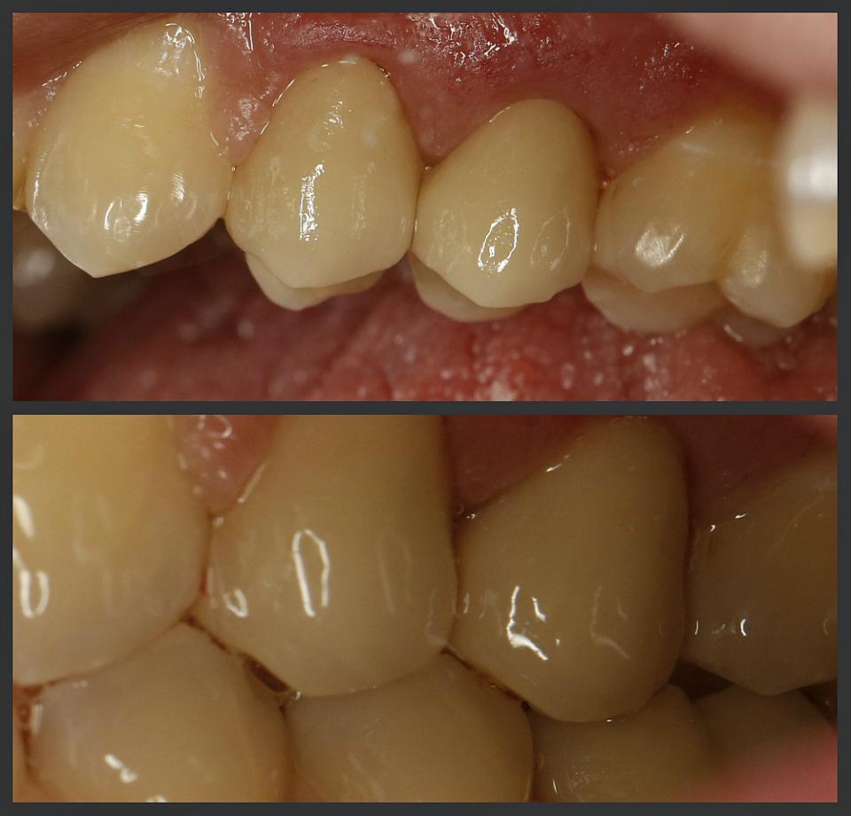
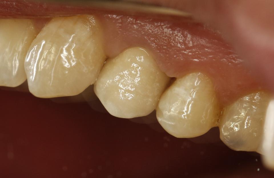
Реабилитация убитых зубов в гос поликлинике циркониевыми коронками.

новый_коллаж.jpg

новый_коллаж1.jpg

новый_коллажlll.jpg

новый_коллаж_22.jpg

Опубліковано:

и сколько сейчас в среднем стоит имплантат + работа от "а" до "я" ?

Створіть акаунт або увійдіть у нього для коментування

Ви маєте бути користувачем, щоб залишити коментар

Створити акаунт

Зареєструйтеся для отримання акаунту. Це просто!

Зареєструвати акаунт

Увійти

Вже зареєстровані? Увійдіть тут.

Увійти зараз
×
×
  • Створити...