MaJ0r Опубликовано 16 октября, 2015 Опубликовано 16 октября, 2015 Это где ставят по 200гр?))бор нормальный стоит только гривен 40,а еще сам материал,полиры,паста полировочная,протравка,бонд, ершики для бонда,матрицца и матрицадержатель,анестетик,иголки доя карпульного шприца, ретракционная нить.Пачка перчаток 50 пар уже за 150гр перевалила,салфетки. А еще переодически новые наконечники надо покупать...Антисептики для рук и инструмента стоят дохера..А еще долгосрочные-амортизация ремонт установки, новые инструменты(пакеры,гладилки,зеркала...)А еще аренда(платный план) на который тоже идет свой материал(от 10 ки)... написал же не в Киеве он. Летом тоже делал пломбы за 200 грн(ну это если без штифтов, временных пломб и прочего) Пломбы на месте, у стоматолога людей тьма, лечит уже давно(я узнал недавно) все ок.
andreyyy Опубликовано 16 октября, 2015 Опубликовано 16 октября, 2015 Выпал недавно реставрированный жевательный семерка вместе со штифтами. Т.е. там остались одни корни, над десной ничего от зуба нет. Было 2 штифта, реставрация + обычная простая коронка сверху. Все это аккуратно выпало. Один стоматолог говорит, что даже браться не будет, мол через годик снова отвалится, только вырывать. Другой говорит, что здоровый корень, какой нафиг рвать, только делать.
paraschyk1 Опубликовано 16 октября, 2015 Автор Опубликовано 16 октября, 2015 поставили 3 импланта штрауман пока только штыри цена вопроса 2000 баксов по времени 30-40 минут на следующий день уже даже не чуствовал Рад,за правильный выбор системы. Цена приятная,за Штауман,даже для Украины. Удачи,отпишись потом что да как.
paraschyk1 Опубликовано 16 октября, 2015 Автор Опубликовано 16 октября, 2015 Это где ставят по 200гр?))бор нормальный стоит только гривен 40,а еще сам материал,полиры,паста полировочная,протравка,бонд, ершики для бонда,матрицца и матрицадержатель,анестетик,иголки доя карпульного шприца, ретракционная нить.Пачка перчаток 50 пар уже за 150гр перевалила,салфетки. А еще переодически новые наконечники надо покупать...Антисептики для рук и инструмента стоят дохера..А еще долгосрочные-амортизация ремонт установки, новые инструменты(пакеры,гладилки,зеркала...)А еще аренда(платный план) на который тоже идет свой материал(от 10 ки)... Вижу в теме. Ты забыл время. Время самое ценное. А пакеры и ершики копейки. Увы,но в Киеве еще можно поставить пломбы аля лепнина,за 200 грн. Но и срок им мал и вид соответствующий Но вот такую работу делать за 200грн я не буду,ну разве корешу.
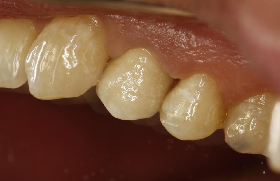
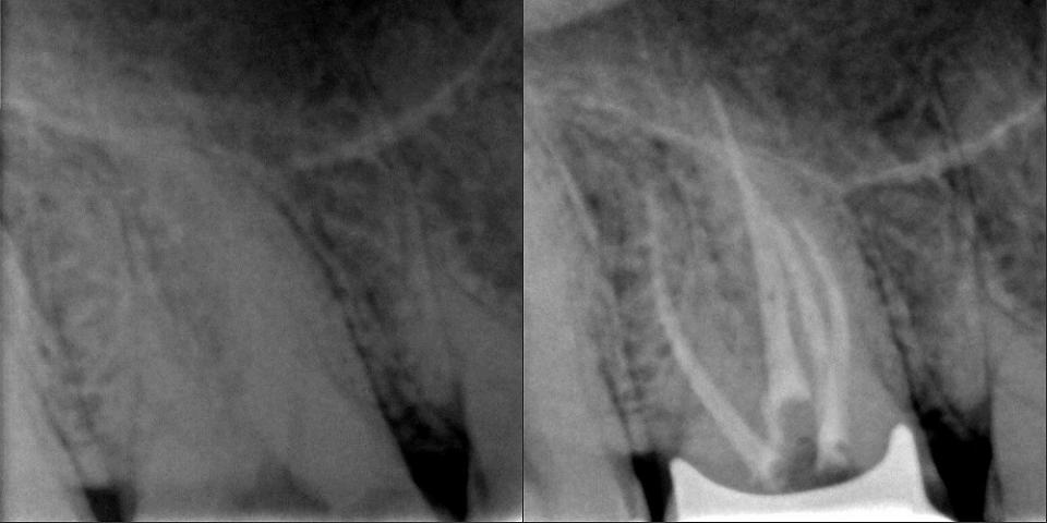
paraschyk1 Опубликовано 16 октября, 2015 Автор Опубликовано 16 октября, 2015 Выпал недавно реставрированный жевательный семерка вместе со штифтами. Т.е. там остались одни корни, над десной ничего от зуба нет. Было 2 штифта, реставрация + обычная простая коронка сверху. Все это аккуратно выпало. Один стоматолог говорит, что даже браться не будет, мол через годик снова отвалится, только вырывать. Другой говорит, что здоровый корень, какой нафиг рвать, только делать. Ниже вариант спасения зуба,когда полная жопа. Такой зуб может бегать пять лет и более.
SRZ Опубликовано 16 октября, 2015 Опубликовано 16 октября, 2015 Но вот такую работу делать за 200грн я не буду,ну разве корешу. эх, жаль что мы с тобой не кореша)) у меня дырок на целое состояние) нужно брать кредит...
paraschyk1 Опубликовано 16 октября, 2015 Автор Опубликовано 16 октября, 2015 эх, жаль что мы с тобой не кореша)) у меня дырок на целое состояние) нужно брать кредит... Пиши в личку.)))
stalker Опубликовано 16 октября, 2015 Опубликовано 16 октября, 2015 Ниже вариант спасения зуба,когда полная жопа. Такой зуб может бегать пять лет и более. у меня такая херня стоит было две но один зуб вырвал постоянно был флюс ( оказалось просверлили канал ) на втором зубе уже года 4 стоит
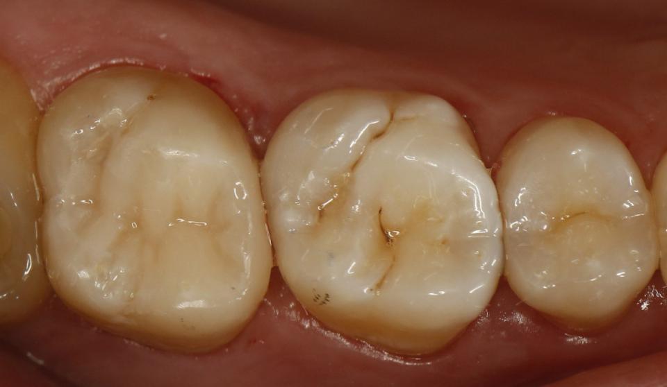
paraschyk1 Опубликовано 13 декабря, 2015 Автор Опубликовано 13 декабря, 2015 Починил форумчанена после неудачного лечения.
Cardopusher Опубликовано 13 декабря, 2015 Опубликовано 13 декабря, 2015 Посоветуй хорошего коллегу в районе позняки,осокорки, черниговская ) Желательно с доступными ценами)
Рекомендуемые сообщения
Создайте учетную запись или войдите, чтобы комментировать
Вы должны быть пользователем, чтобы оставить комментарий
Создать аккаунт
Зарегистрируйтесь для получения аккаунта. Это просто!
Зарегистрировать аккаунтВойти
Уже зарегистрированы? Войдите здесь.
Войти