andreyyy Опубликовано 20 апреля, 2016 Опубликовано 20 апреля, 2016 Для Днепра цена вроде бы средняя. Для правильного изготовления постоянной коронки,должна использоваться ретракция и временная коронка. Будет вообще неплохо передать технику фото зуба с расцветкой. Спасибо. Собственно, коронку вчера уже поставили. Теперь в зале телочкам улыбаюсь ) На вид очень неплохо, от соседнего зуба не отличается. Про ретракцию не понял, конечно, временной коронки не было. Интересовался ценой на ту же работу в 1-й стоматологической поликлинике, там дешевле совсем не на много. Так что делал уже здесь, возле дома.
Valery Опубликовано 21 апреля, 2016 Опубликовано 21 апреля, 2016 Собственно, коронку вчера уже поставили. ... На вид очень неплохо, от соседнего зуба не отличается. Ты, наче "здрасте", - коронку же делают, подбирая цвет, всякие там А3, Б2... Чего ж она отличаться будет от соседнего зуба, если врач-ортопед не дальтоник какой-нибудь ? )))
andreyyy Опубликовано 21 апреля, 2016 Опубликовано 21 апреля, 2016 Ты, наче "здрасте", - коронку же делают, подбирая цвет, всякие там А3, Б2... Чего ж она отличаться будет от соседнего зуба, если врач-ортопед не дальтоник какой-нибудь ? ))) С чего ты взял, что я ожидал отличия в цвете? У меня стоит 2 мостика. Я в курсе про подбор оттенка если что.
Valery Опубликовано 21 апреля, 2016 Опубликовано 21 апреля, 2016 С чего ты взял, что я ожидал отличия в цвете? Я тебя процитировал перед этим... А ты имел в виду другие отличия ? Интересно, какие, чем зуб еще отличаться то может от рядом стоящего ?
andreyyy Опубликовано 21 апреля, 2016 Опубликовано 21 апреля, 2016 Я тебя процитировал перед этим... А ты имел в виду другие отличия ? Интересно, какие, чем зуб еще отличаться то может от рядом стоящего ? Да, я имел в виду другие отличия. На тех 2 мостиках на месте жевательных зубов мне сделали их более толстыми и широкими, чем были мои. Я подумал, что, возможно, они лимитированы какой-то спецификой технологии. Ну мало ли, минимальная толщина этой культи, чтобы обладать какой-то прочностью, минимальная толщина стенки коронки. Волновался, не будет ли мой передний зуб выступать вперед сильней, чем соседний, с которым он должен быть симметричным. Но оказалось что сделали его вполне плоским и тоненьким, как и рядом стоящий.
Cardopusher Опубликовано 21 апреля, 2016 Опубликовано 21 апреля, 2016 Ну конечно! хирург должен удалять зубы в чистом рабочем поле. Понял. Такая повышенная чувствительность была где-то сутки. Это нормально? главное айфон и котлы аля Швейцария с ебея))) А ротовая полость то такЭ Это не про меня. И на ебее заказывать не научился. Банальная безответсвенность и нехватка времени(
Valery Опубликовано 21 апреля, 2016 Опубликовано 21 апреля, 2016 Да, я имел в виду другие отличия. На тех 2 мостиках на месте жевательных зубов мне сделали их более толстыми и широкими, чем были мои. Я подумал, что, возможно, они лимитированы какой-то спецификой технологии. Ну мало ли, минимальная толщина этой культи, чтобы обладать какой-то прочностью, минимальная толщина стенки коронки. Если честно - то тебе такие врачи попадаются ). У меня, например, мосты, зубы с коронками, особенно с металло-керамическими (а это - почти все), невозможно отличить от натуральных. Я вообще иногда путаю - это "родной" зуб или искусственный ). Стоматолог должен быть постоянным личным врачем, нЕхер каждый раз заниматься поиском нового лекаря при возникновении очередной проблемы, переживая правильно и качественно ли он сделает свою работу.
paraschyk1 Опубликовано 23 апреля, 2016 Автор Опубликовано 23 апреля, 2016 Понял. Такая повышенная чувствительность была где-то сутки. Это нормально? Это не про меня. И на ебее заказывать не научился. Банальная безответсвенность и нехватка времени( Чувствительность это понятно. Первое принимается,второе тупо отмаз.
paraschyk1 Опубликовано 23 апреля, 2016 Автор Опубликовано 23 апреля, 2016 Ты, наче "здрасте", - коронку же делают, подбирая цвет, всякие там А3, Б2... Чего ж она отличаться будет от соседнего зуба, если врач-ортопед не дальтоник какой-нибудь ? ))) если бы было все так просто каждых ортопед,в любой захудалой ГОСке,был бы Фрадеани и МакКларен. Окромя цвета еще есть масса нюансов что создают "цветастость". Это и степень прозрачности,и опаковость,и мамелоны и переходы плоскостей. Хорошая коронка это не только та что на зуб похожа,а та которая имеет высокую степень прилегания,правильно вписана оклюзию и оклюзионный компас. Я только пару раз видел воочию коронки,что глядя с 20см на них не знал что это "не свое". Таки дела.
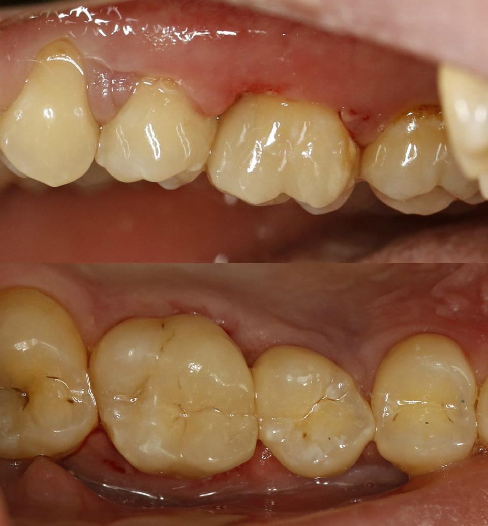
paraschyk1 Опубликовано 23 апреля, 2016 Автор Опубликовано 23 апреля, 2016 Ты, наче "здрасте", - коронку же делают, подбирая цвет, всякие там А3, Б2... Чего ж она отличаться будет от соседнего зуба, если врач-ортопед не дальтоник какой-нибудь ? ))) Что бы получить такой результат было передано технику порядка 10 фотографий с расцветкой. и все равно пришлось немного после примерки красить,что бы попасть
Рекомендуемые сообщения
Создайте учетную запись или войдите, чтобы комментировать
Вы должны быть пользователем, чтобы оставить комментарий
Создать аккаунт
Зарегистрируйтесь для получения аккаунта. Это просто!
Зарегистрировать аккаунтВойти
Уже зарегистрированы? Войдите здесь.
Войти