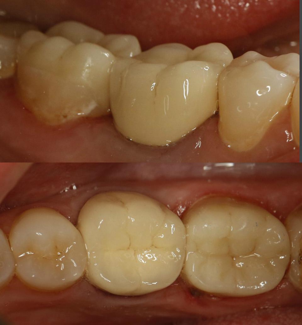
paraschyk1 Опубліковано: 23 квітня 2016 Автор Опубліковано: 23 квітня 2016 А вот два разных материала. Металлокерамика и безметалл (е.мах). Цвет у них одинаковый,но вот проникновение света и прозрачность разная,по этому и на модели смотрятся одинаково,а в полости рта увы. Но с полуметра никто не скажет что там.
Arksun Опубліковано: 29 квітня 2016 Опубліковано: 29 квітня 2016 однохуйственно. что домашнее,что офисное отбеливание А по эффекту разница большая?
paraschyk1 Опубліковано: 9 травня 2016 Автор Опубліковано: 9 травня 2016 А по эффекту разница большая? все зависит от концентрации и времени экспозиции
Cardopusher Опубліковано: 23 травня 2016 Опубліковано: 23 травня 2016 Пару вопросов которые вроде уже обсуждались здесь но не могу найти: - Посоветуй действительно хорошую по твоему мнению зубную пасту. Пока что для себя выбрал Сплат и Сенсодин. Как-то больше всего подошли. - Из каких материалов сейчас делают импланты? Какой лучше? Сколько примерно по деньгам стоит, если к примеру делать у тебя?
templar Опубліковано: 24 травня 2016 Опубліковано: 24 травня 2016 эх. мне дырок и старых пломб, которые надо выковыривать, насчитали 8 позиций :( по деньгам нынче у нас 380 грн 1 зуб полечить. коронка 100 баксов
MrGreenZ Опубліковано: 25 травня 2016 Опубліковано: 25 травня 2016 Лечили два зуба сразу, ппц тяжелая процедура была. Думал что сдохну там. Еще и говорит постоянно врач, открой рот мол. Как я его открою, и так со всех сил открывал. Рот маленький у меня, от этого зубы лечить всегда тяжко:(
templar Опубліковано: 25 травня 2016 Опубліковано: 25 травня 2016 мне в пн 4 за раз полечили. вышел малехо окуевший. пришлось дома вискаря бахнуть для снятия стресса и анастезии
MrGreenZ Опубліковано: 25 травня 2016 Опубліковано: 25 травня 2016 Меня тут вниз головой положили. Лежал в таком положении почти час. В горло вода заливалась, давился. Все мышцы вокруг челюсти и шеи затекли. Вот это было тяжко. Само сверление безболезненное.
extremal Опубліковано: 25 травня 2016 Опубліковано: 25 травня 2016 Я тоже вчера ходил к зубному. Она сказала что пломбы на обеих шестёрках будут раз в 5 лет трескаться пока не вырву все зубы мудрости. Типа эти зубы двигают остальные и пломбы сыпятся. Рвать или не рвать, вот в чём вопрос?
MrGreenZ Опубліковано: 25 травня 2016 Опубліковано: 25 травня 2016 На западе их вообще не лечат. Рвут сразу как появляются. Но я рвал один и это была жопа. Но у меня зуб все же молодой и очень крепко сидел. Обычно они сидят не крепко и рвутся без проблем. Они быстро портятся, у меня три дырки было в нем и как рвали там половина зуба тупо развалилась. Чем более зуб будет гнилым, тем сложнее его будет рвать. Может дойти даже до хирургии, если не за что будет ухватится...
Рекомендовані повідомлення
Створіть акаунт або увійдіть у нього для коментування
Ви маєте бути користувачем, щоб залишити коментар
Створити акаунт
Зареєструйтеся для отримання акаунту. Це просто!
Зареєструвати акаунтУвійти
Вже зареєстровані? Увійдіть тут.
Увійти зараз