Дагот Опубликовано 5 июля, 2017 Опубликовано 5 июля, 2017 Ну ты типа занЯтой по ноздри,а я щи хлебаю? Не , ну ты ж хозяин темы , чего мне тут советничать. Тем более сколько стоматологов , столько и мнений )
paraschyk1 Опубликовано 5 июля, 2017 Автор Опубликовано 5 июля, 2017 Приведу полностью цитату, а то спорить будем до турецкой пасхи ). "Металлокера́мика — искусственный материал, представляющий собой гетерогенную композицию металлов или сплавов с неметаллами (керамикой). ... В стоматологии металлокерамикой называют несъемные зубные протезы (мостовидные протезы, коронки), представляющие собой металлический каркас с нанесенной на него керамической массой. В данной ситуации о композиции как таковой речи не идет, есть каркас из металла и керамическая масса, удерживающаяся на нем за счет макро- и микроретенции. Таким образом, понятие металлокерамики в стоматологии отличается от такого понятия в технике и материаловедении." Ну, уж тут звыняйтэ, шо в стоматологии металлокерамика - не совсем металлокерамика )))... Вал ты неправ. Если это классическая меткерам.,то на мет.каркас наносят полевошпатную керамику (это смесь всяких так оксидов,углерода итд),если на меткаркас прессуют керамику,то это дисиликат лития. Как видишь композита нет. Хотя,если вдаваться в подробности и тонкости,то композит это та же керамика,ну практически,только в органической матрице.Именно она и разнит от полевошпата.
Cardopusher Опубликовано 14 июля, 2017 Опубликовано 14 июля, 2017 Вал ты неправ. Если это классическая меткерам.,то на мет.каркас наносят полевошпатную керамику (это смесь всяких так оксидов,углерода итд),если на меткаркас прессуют керамику,то это дисиликат лития. Как видишь композита нет. Хотя,если вдаваться в подробности и тонкости,то композит это та же керамика,ну практически,только в органической матрице.Именно она и разнит от полевошпата. Как ты думаешь, есть сейчас смысл открывать стоматологию? Хорошо на это заработать в долгосрочной перспективе? Просто твое мнение. К примеру есть у тебя все для открытия, открыл бы?
AT0N Опубликовано 14 июля, 2017 Опубликовано 14 июля, 2017 Нет смысла. С популяризацией этой штуки у всех будут идеально здоровые зубы. Советую стоматологам уже сейчас начинать уходить в айти или в Польшу на клубнику.
paraschyk1 Опубликовано 16 июля, 2017 Автор Опубликовано 16 июля, 2017 Как ты думаешь, есть сейчас смысл открывать стоматологию? Хорошо на это заработать в долгосрочной перспективе? Просто твое мнение. К примеру есть у тебя все для открытия, открыл бы? В прошлом году я стал владельцем простенькой стоматологии на два кресла в столице. Это уже был действующий бизнес. С нуля я бы не открывал однозначно. Сейчас я не плохо зарабатываю,но на себя у меня времени нет. Это тяжелый бизнес,который требует много сил и нервов. Если у меня будет возможность его в дальнейшем обменять на бизнес недвижимости,я это сделаю.
ResectoR Опубликовано 2 декабря, 2017 Опубликовано 2 декабря, 2017 Давно нет нижнего зуба, произошло опущение верхнего, планирую установить импланты, ортодонт предлагает спиливать, я не хочу. Нашел вот такой способ возврата зуба на место, где можно найти врача который это сможет сделать? http://www.kirillkostin.ru/myblog/198-vydv...rtodontija.html
Дід Опубликовано 2 декабря, 2017 Опубликовано 2 декабря, 2017 Сходив до стоматолога на профілактичний огляд-каріозних зубів немає і лікувати не треба, правда намітилася проблемка-виявилося, що я неправильно чищу зуби.Дуже жорстка щітка і ще й сильно "возяю" по зубам, стесав під яснами емаль, стоматолог радить фотополімером залити, а поки що фторна зубна паста, м'яка щітка та нанесення фторолаку...
paraschyk1 Опубликовано 17 декабря, 2017 Автор Опубликовано 17 декабря, 2017 Давно нет нижнего зуба, произошло опущение верхнего, планирую установить импланты, ортодонт предлагает спиливать, я не хочу. Нашел вот такой способ возврата зуба на место, где можно найти врача который это сможет сделать? http://www.kirillkostin.ru/myblog/198-vydv...rtodontija.html Ответил в личку. Такое сделает любой ортодонт с руками из плеч. Ну или к Киррилу съездить в Питер (фото его),могу закинуть словечко за вас ему.
paraschyk1 Опубликовано 17 декабря, 2017 Автор Опубликовано 17 декабря, 2017 Сходив до стоматолога на профілактичний огляд-каріозних зубів немає і лікувати не треба, правда намітилася проблемка-виявилося, що я неправильно чищу зуби.Дуже жорстка щітка і ще й сильно "возяю" по зубам, стесав під яснами емаль, стоматолог радить фотополімером залити, а поки що фторна зубна паста, м'яка щітка та нанесення фторолаку... Иногда так зальют что это только во вред. Натереть абразии (убыль эмали у пришейки зуба) щеткой за пол-года,год не реально. Также нужно исключить фоктор перегруза зуба,суперконтактов. И далее решить вопрос причины ,после последствия.
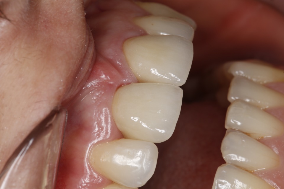
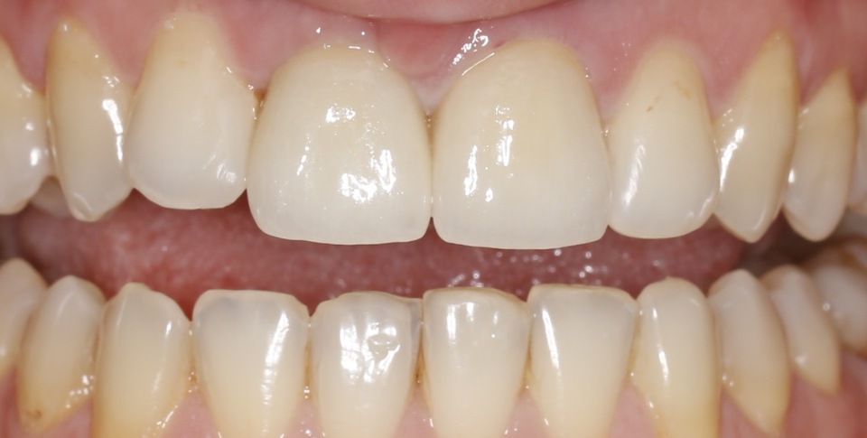
paraschyk1 Опубликовано 29 января, 2018 Автор Опубликовано 29 января, 2018 Пресс керамика (е.мах),толщиной меньше 1мм. Один из видов коронок.
Рекомендуемые сообщения
Создайте учетную запись или войдите, чтобы комментировать
Вы должны быть пользователем, чтобы оставить комментарий
Создать аккаунт
Зарегистрируйтесь для получения аккаунта. Это просто!
Зарегистрировать аккаунтВойти
Уже зарегистрированы? Войдите здесь.
Войти