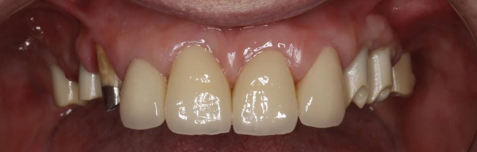
col34 Опубликовано 5 февраля, 2018 Опубликовано 5 февраля, 2018 Пресс керамика (е.мах),толщиной меньше 1мм. Один из видов коронок. Гляньте будь ласка мій останній лист до вас в приватних повідомленнях.
bobir2005 Опубликовано 14 апреля, 2018 Опубликовано 14 апреля, 2018 ПоказатьДанная тема не есть рекламной меня,тех или иных методик или материалов.Цель помочь форумчанам в их вопросах этой отрасли медицины. А именно: - Помощь в проблеме заочно. - Обсуждения плана лечения вам предложенного. - Объяснение проблемы и путей решения,доступным языком. - Советы по выполнению манипуляций. - Советы по профилактике заболеваний. - Советы по выбору продукции. - Советы по уходу за полостью рта. - Помощь в выборе врача. - Не предвзятая оценка проведенного лечения. - Решение сложных задач сообща с ведущими стоматологами Украины и не только. Всем быть здоровыми и красивыми! )) Приветствую. Дочке почти 14 лет. У неё нет правильного прикуса. Ходили с аппаратом френкеля, но особо результата нет. Твин блок я так понял тоже уже поздно ставить. Вобщем там где пытались это дело исправить всё могло закончиться милицией и благо жена меня не пустила забирать задаток (после рассказа что да как) на новый аппарат френкеля. Я сказал туда больше ни ногой и сходил ещё в две поликлинники. В одной предложили вариант на 15000 грн с твин блоком, но это я так понял сомнительная затея и 15к могут уйти в никуда. Во второй - вариант за 30000 с брекетами и нижнюю челюсть не трогать, а ровнять верхнюю. Правда прийдётся вырвать два коренных зуба, так как они не дают челюсти стать на место... Вобщем теперь я хочу сьездить к одному-двум киевским ортодонтам и проконсультироваться ещё там. Не мог бы ты порекомендовать пару хороших ортодонтов в Киеве с не заоблачными ценами? Для полноты картины фото, как раз есть неудачное фото, когда она слишком улыбалась: Показать Дочь у меня симпатичная (хотя у кого она не такая? :ag:) , не хочется что б такое её портило)А то когда вырастет и не предпринять никаких действий, неизвестно чем оно обернётся. Абы совсем не изуродовало. Что б потом не выносить себе мозг, что не предпринял никаких действий когда ещё что то можно было сделать. Можно конечно потом инпланты ставить каждый по 300$ + плюс коронка на него 150$ (у нас в городе такие цені), но это уже ну его в баню))) Оно то в глаза сильно и не бросается гогда она умеренно улыбается, но всё равно, хотелось бы исправить) Показать Хотя на деньги в принципе пофиг, абы 100% положительный результат был. На данный момент смотрим в сторону 30к - этот вариант кажется вполне логичным. Если тоже разбираешься в этом, то с удовольствием услышал бы и твоё мнение.
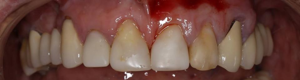
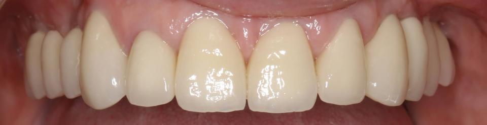
paraschyk1 Опубликовано 18 апреля, 2018 Автор Опубликовано 18 апреля, 2018 Год работы и женщина снова улыбается. Безметалловые коронки на своих зубах и имплантах.
Голодный котег Опубликовано 19 апреля, 2018 Опубликовано 19 апреля, 2018 такой вопрос. по уходу за зубами, что реально полезная вещь, а что маркетинг? какие пасты, полоскания посоветуешь? аппарат который бьет с напором струей воды хорошая штука или ерунда? спасибо.
paraschyk1 Опубликовано 19 апреля, 2018 Автор Опубликовано 19 апреля, 2018 такой вопрос. по уходу за зубами, что реально полезная вещь, а что маркетинг? какие пасты, полоскания посоветуешь? аппарат который бьет с напором струей воды хорошая штука или ерунда? спасибо. Все подписи. Паста любая кроме Глистера,ополаскиватели антибактериальные (причем два разных по составу и использовать попеременно,например Листерин/ОралБи/Когейт плакс первый и любой с хлоргексидином),ирригатор полости рта вещь хорошая,имхо маст хев в каждой хате.
Слава Украине Опубликовано 20 апреля, 2018 Опубликовано 20 апреля, 2018 Паста любая кроме Глистера Я Правильно понял,Глистер не рекомендуете вообще??? или что то ,не так понял. Спасибо за ранние.
MaJ0r Опубликовано 20 апреля, 2018 Опубликовано 20 апреля, 2018 Все подписи. Паста любая кроме Глистера,ополаскиватели антибактериальные (причем два разных по составу и использовать попеременно,например Листерин/ОралБи/Когейт плакс первый и любой с хлоргексидином),ирригатор полости рта вещь хорошая,имхо маст хев в каждой хате. ирригатор это для удаления камней? Гугл показывает какой-то аппарат, даже не знал, что такое для дома можно использовать )
Голодный котег Опубликовано 20 апреля, 2018 Опубликовано 20 апреля, 2018 ирригатор как часто рекомендуется использовать?
Pick_assO Опубликовано 20 апреля, 2018 Опубликовано 20 апреля, 2018 ирригатор как часто рекомендуется использовать? Мой стоматолог рекомендует использовать как можно чаще (минимум раз в день). Нитка и щетка не достают и не промывают так хорошо между зубами, как ирригатор. У меня, правда, от него часто бывает кровотечение десен, но даже в инструкции написано, что это нормально (по крайней мере первое время использования). Может, не правильно струю направляю или выставляю слишком большую мощность. Первые разы я даже очки защитные одевал, боясь попасть в глаз.)) Года три назад ирригаторы у нас продавались по 3000 грн, но я тогда нашел на Алиэкспрессе за 1000. Работает до сих пор.
Рекомендуемые сообщения
Создайте учетную запись или войдите, чтобы комментировать
Вы должны быть пользователем, чтобы оставить комментарий
Создать аккаунт
Зарегистрируйтесь для получения аккаунта. Это просто!
Зарегистрировать аккаунтВойти
Уже зарегистрированы? Войдите здесь.
Войти