paraschyk1 Опубліковано: 6 червня 2018 Автор Опубліковано: 6 червня 2018 тю, да вроде есть норм, правда не знаю пойдешь ли ты к такому дешевому ) Ну можно и подороже из Прежин тим, хороший парень, 5 лет опыта Дорого не значит лучше. У меня сейчас дядька,коронки делал в Швейцарии. Три раза летал и жил там по пару дней. Так в полости рта там еб. стыд,а не работа. Переделываю сейчас все и прайс в итого выйдет в три раза дешевле. Он был,мягко сказать,в легком шоке от того как увидел фото косяков.
MaJ0r Опубліковано: 6 червня 2018 Опубліковано: 6 червня 2018 Дорого не значит лучше. У меня сейчас дядька,коронки делал в Швейцарии. Три раза летал и жил там по пару дней. Так в полости рта там еб. стыд,а не работа. Переделываю сейчас все и прайс в итого выйдет в три раза дешевле. Он был,мягко сказать,в легком шоке от того как увидел фото косяков. Дорого у меня совсем другое понятие. Даже боюсь озвучивать за какую сумму мне ставят пломбу фотополимер: за 300 грн. В другом месте, которое назвал дорого - 600. Мне показалось ты за такое возьмешь гораздо больше
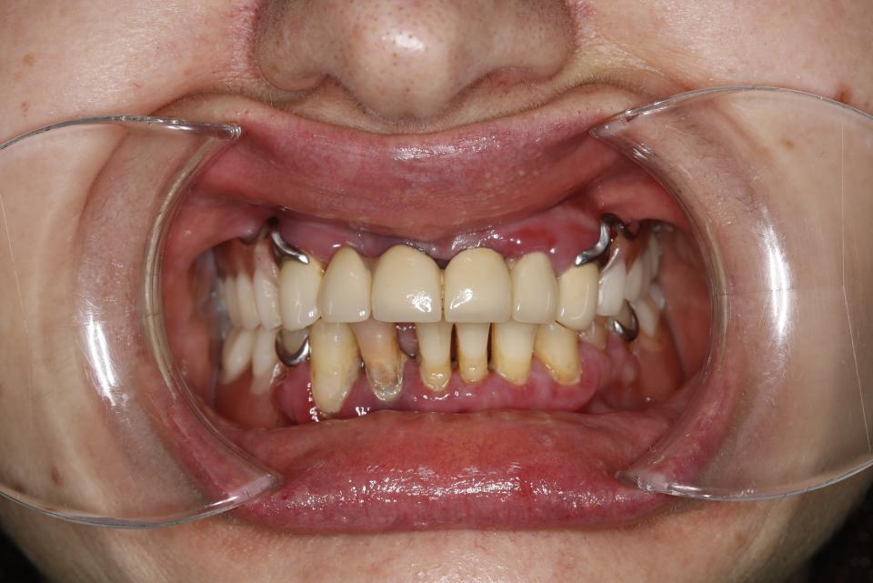
paraschyk1 Опубліковано: 6 червня 2018 Автор Опубліковано: 6 червня 2018 Вот фото зубов где коронки были сделаны пять лет назад с прайсом вдвое дороже чем у меня сейчас. Зубы после такого- трупы.А все от ненадлежащего качества работы и пох.зма в отношении в людям.
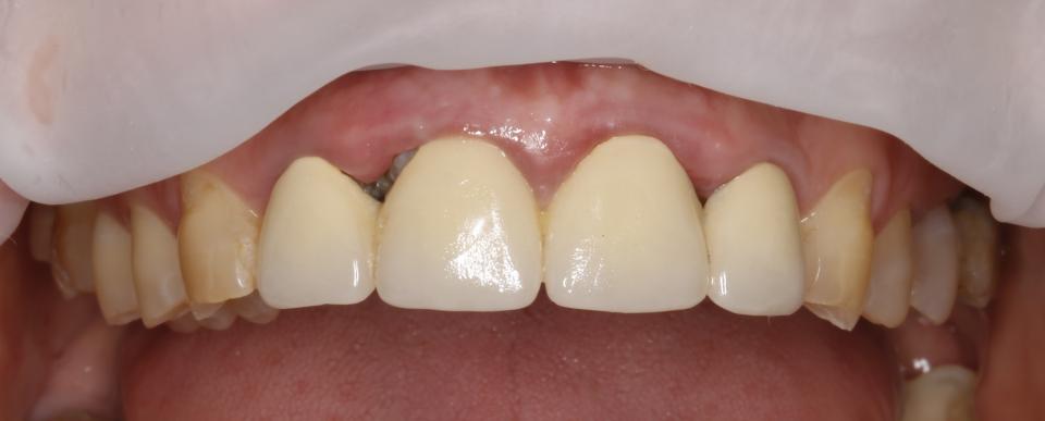
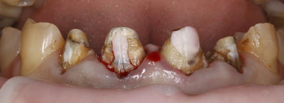
paraschyk1 Опубліковано: 6 червня 2018 Автор Опубліковано: 6 червня 2018 Вот фото где также коронки простояли четыре года и пац только выплатил кредит по ним,а спустя два мес. пришлось все убрать и переделывать,ессно за новые тугрики.
paraschyk1 Опубліковано: 6 червня 2018 Автор Опубліковано: 6 червня 2018 Дорого у меня совсем другое понятие. Даже боюсь озвучивать за какую сумму мне ставят пломбу фотополимер: за 300 грн. В другом месте, которое назвал дорого - 600. Мне показалось ты за такое возьмешь гораздо больше Не важно сколько я,он,она возьмет,важно как выполнит. Бывало я делал три пломбы,а брал как за две. Анестезию не считал,коффер идт итп. Я хз как может быть рентабельным таймменеджмент,без потери качества,за 300,даже за 500 грн. Это могут быть единичные случаи. Мы живем в разных уголках страны,с разными доходами у людей,но оказывать стом помощь нужно всем,правда буду повторятся,качественно. Если док ставит пломбы на уровне за 300 грн и может в конце месяца принести зп достаточную для хорошей жизни его и семьи я его обнимаю и жму руку,он большой молодец.
MaJ0r Опубліковано: 6 червня 2018 Опубліковано: 6 червня 2018 Не важно сколько я,он,она возьмет,важно как выполнит. Бывало я делал три пломбы,а брал как за две. Анестезию не считал,коффер идт итп. Я хз как может быть рентабельным таймменеджмент,без потери качества,за 300,даже за 500 грн. Это могут быть единичные случаи. Мы живем в разных уголках страны,с разными доходами у людей,но оказывать стом помощь нужно всем,правда буду повторятся,качественно. Если док ставит пломбы на уровне за 300 грн и может в конце месяца принести зп достаточную для хорошей жизни его и семьи я его обнимаю и жму руку,он большой молодец. да у них семейный подряд, женщина за 50, но хорошо зарабатывает и без проблем терпит мои рвотные рефлексы в кресле. Принимает как в детской стоматологии, так и в своем кабинете, переоборудованной квартире в обычном доме, не на первом этаже и не на красной линии. И даже эта сумма для многих не малая. Как можно брать кредит на зубы, я хз. Мне за имплант отдать половину месячного дохода кажется не приемлемым. С другой стороны у меня передние зубы все целые, не хватает одной семерки, но вряд ли до нее кто-то доберется, чтобы ставить имплант. Да и как писал выше, не готов 800-1000 долларов за это платить, хотя могу себе позволить
bobir2005 Опубліковано: 7 червня 2018 Опубліковано: 7 червня 2018 Ты в реале на 10 кил больше выглядишь,а с авой в вайбере вообще другой человек.)) PRS, в вайбере зимняя фотка (114 кг), там я вообще тяжееле на 12 кг от того момента, когда ты меня видел) Ты не прав,в Бецыке есть годные стоматологи. Если нужно будет я тебя лично сведу. Правда не ортодонты. Но взрослый прием там на уровне. PRS, Вот я как раз о ортодонтах) И знакомый стоматолог тоже их имел ввиду)
OlegRO Опубліковано: 29 червня 2018 Опубліковано: 29 червня 2018 Британские ученые опровергли миф о том, что зубы нужно чистить как минимум дважды в день – утром и вечером, передает Знай. С их слов, чаще всего на завтрак люди едят продукты с большим содержанием кислот, поэтому привычка чистить зубы сразу после завтрака вредит зубной эмали, разрушая ее. Ученые из Британии рекомендуют после завтрака подождать минимум час, а уже потом идти чистить зубы. Лучше всего проводить процедуры гигиены ротовой полости днем и перед сном. Также ученые отмечают, после процедуры не стоит пользоваться ополаскивателями. Вместе с остатками зубной пасты они также вредят эмали. Лучше всего ополаскивать полость рта днем и после этого в течение 30 минут не принимать никакой пищи и напитков.
paraschyk1 Опубліковано: 20 липня 2018 Автор Опубліковано: 20 липня 2018 Британские ученые :Laie_26: :Laie_48: :Laie_100: :pod_stolom:
OlegRO Опубліковано: 20 липня 2018 Опубліковано: 20 липня 2018 Найден безвредный способ за 4 ч отбелить зубы В отличие от средств на основе перекиси водорода, вариант обработки зубной эмали с диоксидом титана в синем свете не разрушает ее В Китае химики разработали новый способ отбеливания зубов с использованием наночастиц диоксида титана, покрытых слоем полидофамина. Об этом со ссылкой на исследование в ACS Biomaterials Science and Engineering пишет сайт N+1. Авторы идеи из Наньчанского университета утверждают, что при облучении синим светом в течение четырех часов частицы возвращают зубам белый цвет, при этом, в отличие от препаратов на основе перекиси водорода, этот вариант обработки не разрушает эмаль. Зуб на голубом фоне подвергался обработке оксидом титана в полидофаминовой оболочке в течение 0, 0,5, 1, 2, 3 и 4 часов; Чтобы снизить вероятность вредного воздействия на зубы, частицы размером около 40 нанометров были покрыты слоем полидофамина, и для отбеливания их наносили на эмаль, после чего ее облучали синим светом. В результате фотокалитических процессов запускались реакции разложения красящих веществ: зуб постепенно возвращал себе изначальный белый цвет. Кроме того, наночастицы оксида титана обладают антибактериальным действием.
Рекомендовані повідомлення
Створіть акаунт або увійдіть у нього для коментування
Ви маєте бути користувачем, щоб залишити коментар
Створити акаунт
Зареєструйтеся для отримання акаунту. Це просто!
Зареєструвати акаунтУвійти
Вже зареєстровані? Увійдіть тут.
Увійти зараз